、、
9月15日,“太二酸菜鱼为何没人吃了”的话题冲上热搜。有媒体报道称,杭州目前有23家“太二酸菜鱼”。其中,大悦城店、万象城店显示为暂停营业,亚奥天地店尚未开业,...
2025-09-28
“100支长绒棉。”“A类母婴标准,适合裸睡,安全放心。”“A类母婴级,加厚保暖。”一些销售床上用品“高端四件套”的直播间里主播们通过极具诱惑力的推销话术宣称高...
2025-09-26
当前,私域直播“瞄准”老年群体,一些运营者诱导老年人入群,再开展“花式卖货”,层层套路让不少老年人落入“消费陷阱”。“一开始是在群里听讲座、答题领红包,后来就是...
2025-09-25
9月23日,市场监管总局召开直播电商监管专题新闻发布会。市场监管总局网监司相关负责人介绍,为了加强直播电商监督管理,维护广大消费者和经营者合法权益,促进直播电商...
2025-09-24
今年以来,社会上出现一种以“试岗”为名的求职“杀猪盘”骗局。不法分子精准锁定求职人群,诱导求职者一步步落入转账陷阱,涉案金额从数百元到几十万元不等。 记者调查...
2025-09-22
近期,中国消费者协会发布警示,指出一些不法商家频繁设置针对老年人群体的消费陷阱,尤其是通过私域直播间进行虚假宣传和销售欺诈。与传统的公域直播不同,私域直播往往通...
2025-09-22
9月14日,2025年中国国际服务贸易交易会落下帷幕。在北京首钢园这座钢铁森林中,特色工业遗迹与国际现代展会深度融合,充分展现中国扩大高水平对外开放的坚定决心。...
2025-09-18
去村口小卖部买零食给家里囤粮油是不是总担心“不新鲜”“没保障”?小卖部老板进货、卖货是不是也怕踩坑出问题?农村食品安全关乎每家每户福建省市场监管局这就给大家划重...
2025-09-18
近期有网友反馈一些实际卫生状况堪忧的小店通过AI生成虚假的门店图片摇身一变成为明净整洁、顾客盈门的模样让消费者防不胜防▲BRTV纪实科教相关报道截图对此江苏省消...
2025-09-17
编者按 今年是“十四五”规划收官之年。中央企业完整准确全面贯彻新发展理念、实现高质量发展,全面提升科技创新能力、扎实推进布局优化结构调整,深入实施国有企业改革深...
2025-09-16
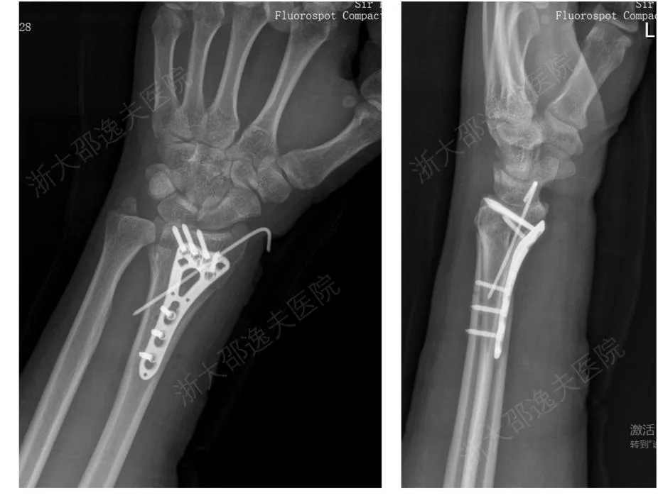
9日,浙江大学医学院附属邵逸夫医院发布自主研发的骨胶水——“骨02”碎骨黏。这一创新生物材料可用于大小骨折碎片的黏合固定,有望为骨科领域带来治疗模式革新。浙大邵...
2025-09-15
吉林长春“这有山”商场内,人流如织。 李 洋摄重庆“ 磁器长歌”数字体验馆一角。 孙凯芳摄游客在云南昆明大观篆新农贸市场一家咖啡店内取餐。 本报记者 张 驰摄引...
2025-09-12